Advertisement
Sharon Kelly, an Australian women in her mid-50s, was diagnosed with terminal stage IV lung cancer in 2013. She was told that she only had six months to live and that chemotherapy was “not really worth doing,” as it would only make her feel worse. Seeking alternative treatment options online, Sharon decided to give cannabis oil a try.
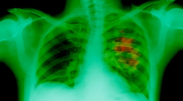
Sharon was afflicted by a minor pain in her left side around her ribs in December of 2013. She attributed her discomfort to a massage she had the previous Friday. When the pain worsened, she decided to get it checked out. Less than a week later, Sharon was diagnosed with non-small cell lung cancer. She also had a significant amount of fluid around her heart, stemming from cancer in the pleural lining of the left lung.
By the middle of January 2014, Sharon’s cancer had progressed. As a non-smoker, she was shocked to discover that the cancer had spread to the lining of her lung and lymph nodes. She was diagnosed with stage IV terminal lung cancer and, as the late Christopher Hitchens tersely noted, “There is no Stage Five.”
The doctors had discovered a 5 cm primary tumor in her left lung. Lymph nodes inflamed with cancer dotted her chest and lower neck. Following two rounds of chemo, which her doctors noted probably wouldn’t work, Sharon’s prognosis went from bad to worse. She tested positive for EGFR mutation, which precluded her from continuing her original chemo treatment. Instead, she would have to be put on a chemo tablet called Tarceva.
Sharon was told that at best, Tarceva could help shrink the tumor, but it only worked for a brief time. The cancer would return even more virulent than it was before. Doctors advised her to go home and spend the remainder of her days with her family. At this point, Sharon was not aware of the medicinal benefits of cannabis oil.

Sharon’s daughter turned to the internet in an effort to find alternative treatment options. She suggested her mother try cannabis oil after stumbling across several testimonials from people about its healing properties.
In late February, Sharon started taking several doses of cannabis oil daily. She found that the oil made her tired. She started researching cannabis suppositories. She settled for a suppository consisting of one-half cannabis oil and one-half coconut oil and putting it into a syringe. She found the suppository didn’t leave her feeling drowsy and enabled her to take the full suggested dose. She gradually increased the dosage before going to bed to ensure a good night sleep.
In addition to switching to a suppository, Sharon changed her dietary habits. She cut red meat, dairy, bread, artificial sweeteners and processed foods from her diet. She would also have a super smoothie each morning, consisting of vegetables, fruits and spices.
Bi-monthly scans revealed that Sharon’s tumor was gradually shrinking. Her tumor had shrunk from 5 cm in December 2013 to 2.1 cm in July 2014. After seven months of cannabis oil treatment, to her doctors’ obfuscation, Sharon was cancer-free and the fluid around her heart was gone.
Sharon’s story is all too common in the alternative health community. Unfortunately, the cancer industry has an incentive to keep these stories from reaching the public at large. Cancer is big business, reaping $100 billion a year in expensive cancer treatments that are often unnecessary and don’t work. If these alternative treatments were made widely available, it would collapse the profit-driven cancer industry.
In an effort to make this information widely known, the eye-opening documentary The Truth About Cancer is about to be relaunched to the public on April 12. This is a docu-series you can’t afford to miss. It could save your life. Click here to register today for FREE!
Sources include:
Submit a correction >>
Advertisement
Advertisements